• 2023年 库布齐沙漠露营活动
  • 2023年5月13-14日 杜鹃花露营
  • 2022年五一假期--贵州秘境-
  • 2023年6月17端午节哈巴雪山
  • 2023年3月25日 春季京西古道登山赏花活动
  • 2014年9月 阿里大北线活动照片
查看: 5790|回复: 17

[登山] 高海拔对大脑的伤害和应对办法

  [复制链接]
发表于 2014-11-30 23:22:51 | 显示全部楼层 |阅读模式
本帖最后由 余戈 于 2014-11-30 23:25 编辑

近来的研究结果令人担忧:在你预想不到的低海拔地带,稀薄的空气也可以摧毁脑细胞。下文将探讨如何保护你自己
图片说明:登山者的支持者比如Conrad Anker(康拉德•安科尔,美国职业登山家)了解适应稀薄空气的秘密。但是新的研究显示,准备不足的业余爱好者-或任何攀升速度过快的人-或许会把他们的脑部置于险境。
“成为一个登山者,你必定有点儿疯狂。”Nicholás Fayed(尼古拉斯•法耶德)博士说。他是西班牙北部的Clinica Quirón de Zaragoza(萨拉戈萨的凯龙诊所)的神经放射学科医生。他领我走进他的办公室,接着抽出了一叠核磁共振成像扫描图片。这些脑部扫描图片,是在一些业余的以及专业的登山运动员从主要的探险活动返回之后拍摄的,这些扫描结果并不乐观。
“frontal lobes(额叶,也叫大脑前庭)萎缩。”Fayed(法耶德)指着一张核磁共振成像扫描图片图片上的脑部黑白截面说。掌控高级神经功能的The frontal cortex(前额叶)正好位于前额后面,它的样子仿佛一片干果。这种损伤导致病人的计划能力,集中注意力的能力以及在复合决策能力受损。这是一种永久性的损伤。
“皮质萎缩,皮质下的损坏„ „” Fayed(法耶德)指着八名业余登山者在1998年攀登阿根廷的海拔高度为22,834英尺(约6,959.8米)的Aconcagua(阿空加瓜山,阿根廷西部安第斯山的高峰,也是西半球最高峰)之旅刚结束后拍下的核磁共振成像扫描图片继续说道。“这个家伙遭受的损害最严重。”他递给我一张照片。照片上一个强健的年轻的登山者站在有积雪的雪山斜坡之上,看起来坚定而有力。“在他回来之后,他甚至想不起自己的电话号码。他的妻子让他去商店买长面包,而他到了那里想不起他到商店做什么,然后空手而回。”
Fayed(法耶德)是国际知名的研究由多方原因引起的健康失调导致的脑畸变以及脑损伤领域的学者。从1992年开始,他和他的同事神经病学者Pedro Modrego(佩德罗•莫德雷戈)博士,还有神经放射学者Humberto Morales(汉博托•莫拉莱斯)博士着手收集35名从Aconcagua(阿空加瓜山), Everest(珠峰), Kilimanjaro(乞力马扎罗山), 以及 Mont Blanc (勃朗峰,位于法国、意大利边境,是阿尔卑斯山脉的最高峰)等峰顶归来的登山者的脑部扫描图。这些扫描让我们看到迄今为止最清晰的高海拔带给脑部损害的图像,客观的说这个结果将不会让人愿意奔向珠峰。然而,好消息是,Fayed(法耶德)的研究也揭示出 ,正确地适应(高海拔)环境在很大程度上可以减少脑部受损的风险。
科学家们很早就知道,大脑可以被恶劣状况损害,比如High-Altitude Cerebral Edema (HACE,高海拔脑水肿),在这种状况下,血管渗血到周围组织,引起脑肿胀,并压迫颅骨。但是,Fayed(法耶德)的扫描图首次指出,在即使攀登过程中没有出现任何高山病症状的登山者,或仅仅出现过被任何一个在山地的徒步者熟悉的恶心以及昏睡症状的登山者中都可能发生脑损害现象。而且,更令人不安的是,那些攀升高度不超过15,000英尺(4,572米)的登山者中似乎也会发生脑损害现象。
比如在15,771英尺(约4,807米)的Mont Blanc (勃朗峰)上。7名旅行者在1998年登顶,他们并未感受到任何高山病的症状。几天后的扫描发现,有三人出现重要的畸形。其中两人表现出脑部VR空间扩大,在MRI扫描图上,脑血管周围的脑白质中的裂口看起来就像白色的鸟枪弹孔( 扩大的 VR空间常见于老年人以及患有Alzheimer's disease(早老性痴呆病)患者中,但是却不常见于20~40岁的人群中,这些登山者就在这个年龄段)。一人出现脑皮层萎缩-一种可以引起“"spaciness(精神恍惚)”以及其他问题的脑灰质损失-还有一人出现大脑皮层下的损害。这种损害破坏了脑白质中的神经信号传递通道组成的网络,可以引起很多严重的疾病。
类似的效应在Aconcagua(阿空加瓜山)也被发现。8位从未攀过21,000英尺(6,400.8米)高度的业余登山者中,有一人仅仅到达18,000 英尺(5,486.4米)。即便如此,他们的扫描结果没有一个是正常的。其中的4人遭受复合的大脑皮层下的损害。7人出现VR空间扩大。所有人均出现脑皮层萎缩-即使半数的队员在登山过程中既没有出现过高山病的症状也没有出现过轻度的高山反应。
极高海拔的风险是明显的。一些研究发现,在喜马拉雅地区逗留过数年而没有频繁地输氧的登山者存在MRI可以扫描到的病变。但是,这种效应在相对较低的海拔高度上被发现却是更令人不安的。
“在23,000英尺(7,010.4米)的高度上出现病变是可以理解的 。”the Angelo Mosso Institute(安杰洛莫索研究所)的所长Gianni Losano说。安杰洛莫索研究所是世界上领先的高海拔研究工作室,位于意大利都灵附近的阿尔卑斯山上。“但是在勃朗峰上?”
我读过Fayed(法耶德)2006年发表在The American Journal of Medicine(美国国家医学杂志)上的论文。我也是一名登山者,同时还是一名神经医学学者。他的文章使我感到不安。我从未攀登过类似Aconcagua(阿空加瓜山)这样的山峰。但是,今年56岁的我把37年的时间用来征服美国附近的山峰以及阿尔卑斯山。这些山峰均低于14,500英尺(4,419.6米)。和一般的登山者一样,我有过自己的高山病症状。所以Fayed(法耶德)的论文让我迷惑:是否所有在山地的时间段里我的大脑均在受损?为找到答案,我决定把自己当做检验对象。我在The Washington's Mount Rainier(华盛顿州的雷尼尔山)完成了一次常规攀越后,飞到西班牙,拜访Fayed(法耶德),做了脑部扫描。
Rainier(雷尼尔山)是一个很容易引发高山病的地方。呈褶皱状垂下的冰川覆盖的火山陡然升高到14,410英尺(约4,392.2米)。每年度试图过来攀登的数百名业余登山者中的大多数人的登顶旅程是在乘坐飞机抵达(雷尼尔山)附近,海拔高度接近海平面的西雅图后,再从此开始的。和Mont Blanc(勃朗峰)一样,Rainier(雷尼尔山)总是被登山者希望在一个周末完成攀登计划,也因此会逼迫身体非常迅速地适应高山环境。
26岁的Dylan(狄伦)是我的儿子。他陪伴着我 。抵达那里的第一个晚上,我们在海拔高度为3,180英尺(约969.3米)一个路边营地里过夜。这个营地距离山下不远。第二天,我们驱车前往登山小道的起点。起点的海拔高度为5,420英尺(约1,652米)。在一片白茫茫中,我们开始向上攀登。一场风暴迫使我们在8,440英尺(约2,572.5米)的海拔高度上宿营,在哪里一整个晚上我们都在等待50英里/小时(约80.5公里/小时)的狂风停止。
次日一早,依靠指南针的指示,我们在一片白雾中穿过,来到设在缪尔营地里的公共庇护所。在哪里,我们遇到一个新的团队以及四个International Mountain Guides(国际山地指南,雷尼尔山的商业性向导机构中的一个)的向导。
Karl Rigrish(卡尔•雷格里希)是其中一名向导。他估计他们公司的40%的客户在雷尼尔山至少有过轻度的高山病。他和其他向导说,避免这种情况出现的关键是,慢慢来。Gary Talcott(加里•塔尔卡特)是Rainier Mountaineering Inc.(雷尼尔山登山国际)的一名向导。他推荐每天上升高度不超过2,000英尺(609.6米)。同时保持体内水分,保持水分可以使身体通过补充流失的体液来稀释变稠的血液。
医学界的建议甚至更为保守。它要求在海拔高度超过5,000英尺(1,524米)时,为了避免AMS(acute mountain sickness的缩写,急性高山病)的发生,每天的攀升高度不应超过1,000英尺(304.8米)。但是究竟谁有这么多的时间来这么做?在雷尼尔山,这意味着要花5天时间才能刚好抵达半山腰上的营地。而这段路程大部分登山者只用一天就完成了,我和我的儿子花了两天时间。商业公司当然乐意在这样的慢节奏下指引登山者,但是他们大部分的客户依据较好的适应性方案对他们可能面临的问题而给予的关照,极力争取更便宜和更快速的登顶方案。
值得注意的是,Fayed(法耶德)的研究结果暗示,通过正确的适应性过程,可以减少甚至消除高海拔登山给脑部带来的损害。这个过程,业余登山者往往不能坚持不懈地严格进行。勃朗峰上的一个业余团队仅仅用了两天时间就攀升了约8000英尺(2,438.4米)并且登顶.几天后的脑部扫描结果表明这个团队半数的队员出现明显的脑损害症状。Aconcagua(阿空加瓜山)上的这队业余登山者给他们安排了6天时间来适应环境,以完成9000英尺(2,743.2米)的垂直攀升(与此相对应,商业团队则需要2到3周的时间),这个团队的每一名成员的脑部扫描结果都出现问题。(三年后的第二次扫描发现情况没有改善)总的来说,西班牙人研究过的23名业余登山者中的5人患有不可逆转的大脑皮层下损害-这也是他们发现的最严重的损害。12名专业登山者中无人患有这些病变。
专业登山者的优势在生物化学的意义上并不是来自天赐的礼物-他们和业余登山者的血液含氧量(或红细胞含量)相近。但是当他们通过正确的技巧更好地适应高山环境后,他们避免了业余登山者的错误导致的使得身体变得紧张这样的结果出现。这时他们的优势显示出来了。
“业余登山者有些东西需要改变。这是因为他们冒着生命危险抵达大本营,而他们也易患高山病。”登山者兼摄影家Jimmy Chin(本文的插图照片就是由他拍摄)说。“当我们徒步到达大本营时,登山者的支援者就像Conrad Anker(康拉德•安科尔)就在队伍的后面,花费时间去嗅那些花儿。我认为这些东西对我们有益。”
在我和儿子的攀升过程中,风暴一直没有减少。所以我们从海拔高度为10,080英尺(约3,072.4米)的缪尔营地下撤。在下降过称中,我们获得一个提示,登山的风险远不止于稀薄的空气。离开营地约一个半小时后,Dylan(狄伦)压垮了一个横在裂缝上的不牢固的雪桥。伴随着破碎的雪块落入裂缝下方,他摇晃着滑到了安全的地方。
几天后,为做脑部扫描,我飞往西班牙。在萨拉戈萨医院,当我的头部滑进MRI的腔室时,天花板从我的眼前消失。这个过程结束后,Fayed(法耶德)和Modrego(莫德雷戈)审阅了我的脑扫描图,魔术般地剥去了那些波浪般起伏着的皮层。“一个小的VR空间。”Fayed(法耶德)说。又浏览了更多的几张,他说,“这里还又一个。”
Modrego(莫德雷戈)说,“以你的年龄,相当的正常。”
Fayed(法耶德)把我的脑扫描3维图像刻录成CD,面带笑容地把CD递给我。我确实没有症状,但却多少有些不自在。
这些研究确实是科学的,但也仍然还在开始阶段。目前还没有太多的关于攀登过中等高度的登山者的脑部变化的研究报告。部分原因是由于这种研究会使涉及到的人有受伤害的风险而很难申请到必需的许可。部分原因是因为大多数从这样的攀登之旅归来之后似乎依然健康,因而没必要花费3000美元去做MRI扫描。但是这些个高海拔研究结果仍然能支持西班牙人的发现。
目前尚不清楚的是在神经细胞开始集体死亡之前,登山者攀升的高度如何以及攀升的速率有快。最大的风险在15,000英尺(4,572米)之上,但是没有理由推测这种风险不会发生在低一些的高度上。我自己的正常的扫描结果绝不意味着这种数据上可以建立一个可以推而广之的结论。但是对我而言,如果一个人很小心地完整地适应性过程,那么他或她在数年内攀登美国周边的山峰(阿拉斯加除外)应该是安全的。
但是,高海拔登山活动确实是有害的,这一点是非常明显的。Kilimanjaro(乞力马扎罗山)之旅出发前,Fayed(法耶德)研究过的所有7名旅行者都进行了脑部扫描,结果确认他们的脑部没有已经存在的损伤;后来,其中的一名徒步旅行者的脑部扫描结果显示,在他的脑部出现看起来象鸟枪造成的弹孔一样的白色的扩大了的VR空间。同时由于这种损害的发生时并没有高山病症状的出现,所以我们只能假设,登山者的感受越糟,登山者面临的风险越大

我们同样也可以学到,登山者的年龄越大,越容易受到高海拔地带的缺氧效应对他们的影响。根据Fayed(法耶德)最近的研究,论文发表在去年五月份的英国神经医学研究杂志在线。高海拔病以及潜在的脑部损害的风险随着年龄的增大而增大-年龄在四十岁左右的登山者比30岁左右的登山者更容易患急性高山病(AMS ,Acute Mountain Sickness)或脑部损害。

你会想到,所有这些或许会使那些被激情推到高山的人们变得犹豫。但是,当我问Fayed(法耶德)在之前的研究中是否有人在看到他们自己的脑损害后退出登山者的行列时。
“他们仍然在登山。”他说,“我们的目的并不是说服任何一个登山者停止攀登。我们只是让人们了解其中的危险以及正确地适应高海拔环境的必要性。”
和我交谈过的大多数登山者似乎对这些风险表现出无所畏惧。他们并不因置身于更直接的和更致命的危险之中而有所畏惧。与此同时,他们中的很多人在几年前就已经怀疑高海拔地区的攀登活动对脑部有影响。

“毫无疑问,高海拔地域的登山活动在杀死脑细胞。”Rainier Mountaineering Inc.(缩写为RMI,雷尼尔山登山国际)的向导Melissa Arnot(梅利莎•阿诺特)说,“但这是我的工作,也是我的职业。”一个国际知名的登山者对我透露,他并不确定他的感知能力是否可以在攀登高峰之后完全恢复,或是否他只是对失去的功能逐渐适应。另一个RMI公司的向导Alex Van Steen(亚历克斯•凡•斯蒂恩)曾对我说,“有些时候,有些事后你不会总是对的。”
至于我,是不会终止登山的。然而Fayed(法耶德)的理论是合理的,这也改变了我的登山方法。我不会再象以前一样试图通过承受高山病的痛苦以抵达顶峰。登山者总是在寻找来自外部的警告信号以决定他们是否应该返回:即将到来的恶劣气候,虚弱的队友,不稳定的雪。现在有一点是清楚的,那就是高山病是一个体内的预警信号,一个他们应该同样郑重地处理的信号。
对几种损害的说明
图片说明:避免和高海拔有关的脑损伤的关键在于:在低处睡觉,缓慢爬升,保持体内水分,如果你开始感觉不舒服,立刻返回。
增大了的VR空间
脑血管周围空间的扩大。是由于脑的肿胀或脑部的萎缩引起,和年龄关联的认知衰退,痴呆,以及各种脑部疾病与之有关。
皮层萎缩
大脑皮层的神经损失-大脑皮层也即是大脑表层,有意识的思考,身体感知,以及对身体运动的更高层次的控制,这些活动是在大脑皮层里进行的。
大脑皮层下的损害
对大脑皮层之下的脑白质的损毁。在登山者的脑部,这种损伤通常是由于轻度中风-粘稠血液中的血块,周围组织缺氧引起的中风。脑白质是为脑部各个区域传递信号的网络,所以脑白质的破坏将引起广泛的和不可逆转的病变。
保护你的大脑
依照下面的步骤以防止高海拔对你的大脑的危害
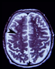
图片说明:增大了的VR空间-更常见于老年人中-从这个年轻的业余登山者从阿空加瓜山返回后拍摄的脑部扫描图中明显可见。
1. 如果来自海平面高度 ,在海拔5,000英尺(1524米)左右的高度上度过一个晚上。
2. 攀高越慢越好。按照医学上的说法,在海拔9,000英尺(2743.2米)以上,安全的攀高速率是每天1000英尺(304.8 米)。
3. 在海拔19,500英尺(5,943.6米)的高度以上停留的时间越短越好 。
4. 爬的越高,睡觉的地方需要越低.高海拔将猛然推动(身体的)适应环境过程。当晚上下降高度后,可以让身体在一个安全的高度上适应海拔变化。或每间隔两到三天就插入一个休息天。
5. 听从你的身体信号。坚决不在有明显的高海拔病症状才出现时攀升;如果症状恶化,下撤。
6. 保持身体水分,避免过多食用食盐,吃碳水化合物含量丰富的食物。
7. 不要饮酒-饮酒导致脱水以及抑制呼吸。
我的感觉不太好
图片说明:在Jimmy Chin的探险中,他在大本营里从容不迫。“身体会因为紧张而变得虚弱。和频繁地试图爬高以及在低处睡觉使身体疲惫不堪相比,确保休息好以及在在低海拔区域逐渐适应环境非常重要。”

高原反应可能会在低到6,000英尺(1,828.8米)的高度侵袭人体,但是更常见于8,000英尺(2,438.4米)以上的海拔高度。常见于迅速到达这个高度的人群中。先期的症状是和轻微的脑肿胀有关的急性高山病(AMS ,Acute Mountain Sickness),根据西班牙人的研究,这将引起长期的损害。症状包括头痛,恶心,不适;如果这些症状出现,登山者应立即下降高度直到这些症状消失。如果脑肿胀进一步恶化,将转变为High-Altitude Cerebral Edema (HACE,高海拔脑水肿),一种非常危险的状态。早期症状有错觉,意识模糊,情绪不稳定;HACE可以进一步引起协调性丧失,意识不清,以及死亡。
其过程:在高海波地域,缺氧引起心律和呼吸频率升高,使过多的二氧化碳被呼出,结果体内的水分和电解质的平衡被破坏。然后,大脑外璧和肺部的毛细血管被破坏,毛细血管的血液渗入周围组织,使脑部肿胀。当更多的红细胞产生以输送氧气,以及脱水过程使更多的水分被抽离身体,血液变得更稠。最严重的病例中,血块在变稠的血液中凝结,引起轻度中风。
相关的研究结果(有点儿让人吃惊)
关于对其他方面表现健康的高海拔登山者的脑部损伤检查,西班牙人的报告并不是唯一的。
罗马大学的Margherita Di Paola和她的同事比较九名登山者攀登K2或珠峰前后的脑部扫描结果后发现,这些登山者的大脑灰质和白质都有损失。她们的研究还发现控制身体占优势的一侧(左撇子或右撇子)的脑部区域受损更为严重-这可能是由于控制身体运动的脑部区域较多的对氧气的需求。

1996年,英国临床医学杂志比较了21名攀登高度超过26,000英尺(7,924.8米)的顶尖登山运动员和一个实验对照组-21名从未到过高海拔地区的人的脑部扫描照片。60%的登山精英照片显示出轻度的脑皮层萎缩或者大脑内部脑白质的轻度破坏。值得注意的是,有七名精英同时也是夏尔巴人同样也被研究过。虽然他们也攀登高山,但是他们同样也生活这个海拔高度上。其中只有一人显示出类似的症状。笔者推荐减慢适应环境这个过程。
 楼主| 发表于 2014-11-30 23:28:46 | 显示全部楼层
总结:总之一句话,上高海拔一定要多适应,循环渐进,慢慢的攀登!
回复 支持 反对

使用道具 举报

发表于 2014-12-1 00:09:54 | 显示全部楼层
是的,像包子那样不行!!
回复 支持 反对

使用道具 举报

发表于 2014-12-1 06:17:18 | 显示全部楼层
观易 发表于 2014-12-1 00:09
是的,像包子那样不行!!

比我快几个小时登顶,会变傻的~
回复 支持 反对

使用道具 举报

 楼主| 发表于 2014-12-1 09:51:58 | 显示全部楼层
观易 发表于 2014-12-1 00:09
是的,像包子那样不行!!

包子属于例外哈哈
回复 支持 反对

使用道具 举报

发表于 2014-12-1 17:56:41 | 显示全部楼层
包子最近出去打酱油,结果忘记了要干嘛就买了一个青花瓷的小碗,还美呢,这脑子啊,完了。。
回复 支持 反对

使用道具 举报

发表于 2014-12-1 20:08:54 | 显示全部楼层
观易 发表于 2014-12-1 17:56
包子最近出去打酱油,结果忘记了要干嘛就买了一个青花瓷的小碗,还美呢,这脑子啊,完了。。{:4_1 ...

这是真的么?????
回复 支持 反对

使用道具 举报

发表于 2014-12-1 21:02:30 | 显示全部楼层
我说怎么最近智商掉的这么狠呢。。。。
回复 支持 反对

使用道具 举报

发表于 2014-12-1 21:03:15 | 显示全部楼层
固囊小言 发表于 2014-12-1 20:08
这是真的么?????

我那是大明乾隆年间的官窑好么!
回复 支持 反对

使用道具 举报

发表于 2014-12-1 21:03:17 | 显示全部楼层
固囊小言 发表于 2014-12-1 20:08
这是真的么?????

我那是大明乾隆年间的官窑好么!
回复 支持 反对

使用道具 举报

您需要登录后才可以回帖 登录 | 注册会员

本版积分规则

快速回复 返回顶部 返回列表